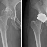
H1 Ceramic on Ceramic Hip Resurfacing Implant Used by Cleveland Clinic London
October 29, 2025 – Ceramic Implant for Hip Resurfacing May Be Better for Patients With Smaller Hips.
Read full article here: https://consultqd.clevelandclinic.org/ceramic-implant-for-hip-resurfacing-better-for-smaller-hips
Surgeons at Cleveland Clinic London have begun performing hip resurfacing with ceramic implants. They are among the first in the world to provide this alternative to metal-on-metal hip resurfacing, which currently is recommended only for patients with larger femoral heads.
Patients with smaller bones, including many women, are more likely to report pain after metal-on-metal hip resurfacing and require early revision. The pain is often due to soft tissue impingement on the oversized components or the tissue’s reaction to metal ion particles released with wear, says Justin Cobb, MCh (Oxon), a consultant orthopaedic surgeon at Cleveland Clinic London.
In response, Prof Cobb and a team of developers produced a novel ceramic hip resurfacing implant, the H1, designed for patients with smaller hips and a smaller pelvis. A 2023 clinical study found that women receiving the H1 had postoperative biomechanics similar to healthy women without hip surgery, while women who had total hip arthroplasty (THA) had worse biomechanics.

Designing a new solution for smaller hips
Prof Cobb’s innovation was born from his care of young patients with sarcoma.
“Between 1991 and 2005, I mostly looked after teenagers with bone tumours that were often fatal,” he says. “Even if they were cured, these young people had large segments of limb excised. These surgeries inevitably resulted in significant long-term disability. That insight made me look for less invasive procedures, such as hip resurfacing, and technologies to enable more precise ways of achieving the preoperative plan.”
Prof Cobb and one of his PhD students at Imperial College London collaborated on studying the shape of the hip and its position in the pelvis. They explored differences in the curves and contours of men’s and women’s hips and described these differences mathematically in a 2009 publication. In a 2011 paper, Prof Cobb and colleagues showed how hip resurfacing products currently in clinical use were not designed for patients with smaller hips, including many women.
Following that publication, Prof Cobb and a team started working toward designing implants, first in metal and later in ceramic, contoured for smaller hips. After four years of preclinical testing to show safety and efficacy, clinical trials of the H1 ceramic implant began in 2017.
“Orthopaedic surgeons from all over the world have expressed interest in H1,” Prof Cobb says. “They all want to do a better job for their patients and see H1 as a way to achieve that.”
By resurfacing the hip instead of replacing it, bone strength is preserved, allowing hip muscles to continue acting normally, he says. Forces are transmitted up the femoral neck and across the hip joint.

H1 hip resurfacing vs. total hip replacement
In 2023, Prof Cobb was senior author of a study in Gait & Posture comparing 15 women with H1 hip resurfacing and 15 women with conventional THA. Results indicated that, compared to patients having THA, those with the H1 implant:
- Reported significantly higher activity levels (per metabolic equivalent of task scores) after surgery (11.2 vs 7.1, P = .02)
- Recorded a faster and significantly improved maximum walking speed after surgery (6.8 km/hr vs. 6.2 km/hr, P = .003)
- Had a symmetrical gait at heel strike, midstance and push-off when walking at a fast speed (6 km/hr) after surgery (while patients with THA had an asymmetrical gait at all three points)
- Had a longer step length when walking at a fast speed after surgery (79 cm vs. 73 cm, P = .02)
In addition, patients with the H1 implant recorded a ground reaction force after surgery similar to people who didn’t have hip surgery, whereas patients with THA had a weaker push-off force.
“All patients had improved function after surgery compared to before surgery, whether THA or hip resurfacing with the H1 implant,” Prof Cobb says. “However, only those women with the H1 implant achieved postsurgical gait speed, symmetry and other elements of function comparable to people with healthy hips. Women with replaced hips had shorter steps, weaker force and more asymmetry after surgery compared with healthy controls — exactly as described in previous studies. In this study, the patients with resurfaced hips had functional levels indistinguishable from healthy controls, while the women with total hips were slower and had worse balance.”
Making hip resurfacing an option for more patients
Risks associated with hip resurfacing — including risk of dislocation, infection and periprosthetic fracture — are lower than those associated with hip replacement, notes Prof Cobb.
“THA is a great operation, but it’s not ideal for everyone,” he says. “A metal stem in the femur stiffens the area, reducing the energy transfer through the area. So, despite being out of pain, patients with THA find it harder to return to sports that entail running and jumping, for instance.”
With hip resurfacing, patients retain the femoral head and neck, allowing them to resume activities they did with their healthy, native hip. The H1 ceramic hip implant makes hip resurfacing an option for more patients, specifically those with smaller bone structure.
“With H1 technology, many people in the U.K. and Europe currently considering a total hip replacement could instead choose less-invasive hip resurfacing,” Prof Cobb says. “By retaining the flexibility of the femoral neck, they can retain the option of returning to the higher level of activity that they used to enjoy.”